[엔트로피타임즈 민혜정 기자] BNK경남은행이 창립 기념일(5월 22일)을 맞아 ‘창립 제53주년 기념 고객감사 이벤트(핫플레이스, 여기는 경남은행!!!)’를 진행한다고 밝혔다. 오는 22일부터 7월 31일까지 ▲퀴즈 이벤트 ▲메타버스 이벤트 ▲인스타그램 이벤트로 나눠 진행되는데, 이중 매주 진행되는 ▲퀴즈 이벤트(도전! 퀴즈왕)는 참여 고객 중 10주간 총 5300명을 추첨해 스타벅스 커피 쿠폰을 보내준다. 또 매주차별 퀴즈 이벤트 참여 고객에게는 최종 경품 추첨에 필요한 추첨권을 1매씩 지급하며 추첨권을 받은 고객을 대상으로 추첨을 통해 여행·쇼핑·영화 등 테마별로 상품권을 제공한다. 먼저 여행 테마 해외여행 부문 당첨자 2명에게는 국민관광상품권 100만원권, 국내여행 부문 당첨자 5명에게는 국민관광상품권 50만원권이, 쇼핑 테마 당첨자 10명에게는 롯데백화점상품권 10만원권, 영화 테마 당첨자 53명에게는 롯데시네마 모바일 영화관람권 2매를 증정한다. 이어 ▲메타버스 이벤트는 메타버스 플랫폼 젭(ZEP)에서 경남은행 창립과 메타버스 '크니버스' 오픈을 기념한, 비밀 금고 찾기를 진행, 응모자 중 300명에게 스타벅스 모바일 커피 쿠폰을 보내준다. 또한
[엔트로피타임즈 최기훈 기자] 현대건설은 충청남도 천안시 서북구 성정동 209-1번지 일원에서 ‘힐스테이트 천안역 스카이움’을 분양 중이다. 천안역(수도권 지하철1호선, 경부선) 역세권 입지고, 현재 진행 중인 천안역세권 도시재생 뉴딜사업 수혜 단지다. ‘힐스테이트 천안역 스카이움’은 지하 5층~지상 49층, 6개 동, 전용면적 59~114㎡ 총 999세대 규모로 조성된다. 견본주택은 천안시 서북구 두정동 일원에 위치해 있다. 단지가 위치한 천안역 일대는 2018년부터 2023년까지 약 21만㎡ 규모의 천안역세권 도시재생 뉴딜사업이 진행된다. 총 사업비 358억 원의 도시재생 뉴딜사업이 완료되면 천안역 일대는 청년 일자리 창출, 주거복지 실현, 도시 경쟁력 확보 등의 효과를 얻을 수 있다. 더불어 단지 인근에 남산지구 뉴딜사업, 천안역세권 혁신지구, 그린스타트업 타운 조성사업, 봉명지구 뉴딜사업 등의 도시재생 사업이 완료 및 진행 중이다. 이 사업들이 모두 완료된다면 천안역 일대는 힐스테이트 천안역 스카이움을 중심으로 새로운 주거타운이 형성되어 높은 미래가치가 기대된다. 단지는 도보권에 수도권 지하철1호선, 경부선 천안역이 있어 서울 및 수도권 지역으로 출퇴
[엔트로피타임즈 김소산 기자] 현대자동차는 5월 18일(목, 현지 시각) 이탈리아 레이크 코모에서 ‘현대 리유니온' 행사를 열고 ‘포니 쿠페 콘셉트’ 복원 모델을 최초로 공개했다고 19일 밝혔다. 현대차그룹 정의선 회장을 비롯해 주요 전·현직 임직원들이 참석한 가운데 진행된 현대 리유니온은 현대자동차의 과거를 되돌아보며 미래를 향한 현대자동차의 변하지 않는 비전과 방향성을 소개하는 헤리티지 브랜드 플랫폼이다. 정의선 회장은 “정주영 선대회장은 1970년대 열악한 산업 환경에도 불구하고 완벽하게 자동차를 생산할 수 있는 나라는 심지어 항공기까지 무엇이든 생산할 수 있다는 믿음을 가지고 독자적인 한국 자동차를 만들겠다는 비전을 실현했다”며 “이탈리아, 한국을 비롯해 포니의 성공에 결정적인 역할을 해준 모든 분께 진심으로 감사를 표한다”고 전했다. 현대차는 이날 행사에서 지난해 11월 시작한 포니 쿠페 콘셉트 복원 프로젝트의 결과물을 처음으로 선보였다. 현대자동차는 1974년 이탈리아 토리노 모터쇼에서 선보였던 포니 쿠페 콘셉트를 원형 그대로 복원해 포니 개발을 통해 자동차를 국가의 중추 수출산업으로 육성해 국민들의 더 나은 삶을 염원했던 정주영 선대회장의 수출보
[엔트로피타임즈 최기훈 기자] 대우건설·GS건설·롯데건설 컨소시엄이 오는 19일(금) ‘인덕원 퍼스비엘’ 견본주택을 개관하고 본격적인 분양에 나선다. 인덕원 퍼스비엘은 경기도 의왕시 내손동 661번지 일원에 지하 4층 ~ 지상 34층, 14개 동, 전용면적 49~84m2, 총 2180세대 대규모로 조성되며 이 중 586세대가 일반분양분이다. 일반분양분 타입별 세대수는 △49㎡A 215세대 △49㎡B 99세대 △59㎡A 90세대 △59㎡B 144세대 △74㎡ 12세대 △84㎡ 26세대다. 전 세대가 청년 신혼부부 등 1~2인 세대를 위한 전용 59m2 이하 소형평형부터 74·84m2 중형까지 다양한 평형으로 공급해 수요자들의 선택권을 넓혔다. 인덕원 퍼스비엘의 평균 분양가는 3.3㎡당 평균 2886만원대 가격으로 책정되어 지역 내 실수요층의 높은 관심을 받고 있으며, 중도금 이자 후불제로 자금 부담도 덜어줄 전망이다. 특히 이 단지는 대부분을 3~4베이 판상형으로 선보여 공간 활용도를 높였으며 세대 간 간섭을 최소화하고 채광과 통풍을 극대화하기 위해 남향 위주의 단지 배치로 설계했다. 인덕원 퍼스비엘의 향후 일정은 5월 30일(화) 특별공급을 시작으로 31일(
[엔트로피타임즈 강민구 기자] HD현대오일뱅크가 직영주유소에서 ‘디벨론(DEVELON)’ 미니 굴착기를 판매한다고 18일 밝혔다. ‘디벨론’은 HD현대인프라코어가 지난 1월 새롭게 공개한 건설장비 브랜드다. 주유소 유휴 공간을 활용한 굴착기 판매는 국내 정유사 중 처음이다. 양사는 미니 굴착기의 활용성에 주목했다. 건설 및 토목 현장에서 주로 사용되는 중대형 굴착기와 달리 미니 굴착기는 농가, 과수원, 전원주택 등에서도 활용도가 높아 건설산업 종사자부터 일반인에 이르기까지 고객층이 다양하다. 기존 대리점을 통한 판매가 아니라 일반 고객이 방문하는 주유소로 눈을 돌린 이유다. 5톤 미만의 미니 굴착기 국내 시장은 지난 2019년 대비 지난해 52.7% 성장하며 4천 4백여대까지 판매 규모가 늘어났다. HD현대인프라코어는 지난해 판매량 651대에서 54% 증가한 1,000대를 올해 판매 목표로 세웠다. 주유소에서 판매하는 모델은 3.5톤(DX35Z-7), 3톤(DX30Z-7), 1.7톤(DX17Z-5) 등 3 기종이다. 현재 인천, 광주, 안성, 충주 등 HD현대오일뱅크 직영주유소 4개소에서 전시 및 판매 중이며, 주유소 현장에서 구매 상담은 물론 계약까지 가능
[엔트로피타임즈 민경종 기자] SK㈜ C&C(사장 윤풍영)가 지난 17일, 기업의 생성형 AI 적용 방안과 실사례를 직접 확인해 볼 수 있는 ‘생성형 AI 토털 서비스 론칭 웨비나’를 개최했다. 이를 통해 다양한 엔터프라이즈 사업과 서비스에 맞출 수 있는 ‘생성형 AI를 활용한 디지털 혁신 길라잡이’로 나서려는 포석이다. 생성형 AI는 인공지능이 텍스트, 음성, 이미지, 동영상 등 다양한 콘텐츠를 스스로 창작하는 기술로, 최근 전 산업 분야에서 이에 기반한 디지털 혁신 방안을 찾기 위한 기업들의 노력이 집중되고 있는 상황이다. 이번 웨비나에서 SK㈜ C&C는 기업에서 어떻게 생성형 AI를 활용할 수 있는지에 대한 사례를 소개하고 국내 기업 특성과 보안 현실에 맞춘 최적의 생성형 AI 비즈니스 모델을 제시, 국내 기업들이 빠르고 안전하게 생성형 AI를 활용할 수 있도록 지원하는 것을 목표로 설정, 자연어 챗봇·데이터 플랫폼·생성형 AI 등 AI 주요 분야별 연구 및 실제 산업 현장에서의 AI 데이터 시스템 구축·운영 경험을 바탕으로 ‘생성형 AI 토털 서비스’를 소개해 주목을 받았다. 생성형 AI토털 서비스에는 국내 기업에서 즉시 활용 가능한 A
[엔트로피타임즈 최기훈 기자] 현대건설이 시공하는 3천 가구 매머드단지 '힐스테이트 환호공원'이 일반 분양을 진행하고 있다. 이 단지는 경상북도 포항시 북구 양덕동 산261·235번지 일원(포항환호공원 1, 2블록)에 들어선다. 단지는 지하 3층~지상 최고 38층, 총 20개 동, 2,994가구(1블록 1,590가구, 2블록 1,404가구)로 구성된다. 블록별 가구 수는 1블록 ▲59㎡ 302가구 ▲84㎡ 994가구 ▲101㎡ 294가구이며, 2블록은 ▲59㎡ 364가구 ▲84㎡ 747가구 ▲101㎡ 293가구다. 포항시는 지역 발전을 위해 지속적으로 노력 중이다. 특히 2차전지·수소 등 신산업 분야에서는 눈에 띄는 결실을 거두고 있다. 작년 '대한민국 브랜드 대상'에서 전국 최초로 '배터리산업 도시 부문 대상'을 수상한 데 이어 올해도 선정돼 2회 연속 대상 수상의 영광을 안았다. 또한 작년, 국토교통부의 '수소도시 조성사업'에 경북에서 유일하게 선정되는 성과도 이뤘다. 실제로 5월 초, 포항시와 경상북도는 시청 대회의실에서 포스코퓨처엠·중국 절강화유코발트와 1조 2,000억 원, 포스코퓨처엠과 5,000억 원 규모의 투자협약을 각각 체결했다. 이번 협약에
[엔트로피타임즈 민혜정 기자] 하나금융지주 자회사이자 모바일 생활금융플랫폼 서비스 기업인 ‘핀크’(대표 조현준)가 소비자의 통신요금 절감에 도움을 줄 금융 서비스를 잇따라 선보였다. 지난달 25일 고객의 통신 생활패턴에 맞는 저렴한 요금제를 빠르게 찾고, 개통까지 연결해주는 ‘알뜰폰 요금제 비교 서비스’를 출시한데 이어, 지난 15일에는 하나카드와 손잡고 맞춤형 카드 추천 서비스 '카드몰'에서 최대 80만원의 통신비 할인 혜택을 제공하는 이벤트를 진행한다고 밝힌 것. 지난 2016년 설립 이후 현재까지도 확실한 영업기반 구축은 물론, 적자행진에서 벗어날 실마리를 좀처럼 찾지 못하고 있는 ‘핀크’에게 이들 서비스가 하나의 터닝포인트로 작용할지 핀테크 업계의 관심이 쏠리고 있다. 먼저 핀크는 지난달 25일 알뜰폰 요금제 비교 플랫폼 ‘모요(모두의 요금제)’와 손잡고 고객의 통신 생활패턴에 맞는 저렴한 요금제를 빠르게 찾고, 개통까지 연결해주는 ‘알뜰폰 요금제 비교 서비스’를 출시했다. 이는 고물가 영향으로 통신비가 저렴한 알뜰폰 사용자가 빠르게 증가하고 있는 추세를 반영해 시시각각 변하는 알뜰폰 요금제 정보를 한데 모아 비교할 수 있는 서비스를 시작한 것. 즉,
[엔트로피타임즈 최기훈 기자] 현대건설·계룡건설산업·동부건설·대보건설은 16일 ‘동탄 파크릭스’ 2차 일반분양 물량 660세대가 모두 계약을 완료했다고 밝혔다. 1차 물량 1,403세대가 완판을 기록한 데 이어 2차도 완판 되면서 총 2,063세대가 모두 계약을 마감했다. 이 단지는 총 4개 블록, 지하2층~지상20층, 공동주택 44개동, 전용면적 74~110㎡로 구성되며 총 2,063세대로 조성된다. 입주는 2025년 7월 예정이다. 앞서 지난 4월 1·2순위 청약접수를 한 2차는 438세대(특별공급 제외) 모집에 3,403건이 접수되며 평균 7.77대 1의 경쟁률로 전 주택형 모집가구 수를 채웠다. 최고 경쟁률은 전용면적 110㎡C타입으로 무려 241대 1의 경쟁률을 기록한 바 있다. 업계에서는 최근 분양 양극화가 심화되고 있는 상황에서 2,000세대가 넘는 대단지가 단기간에 완판된 것에 대해 이례적이라는 반응이다. 이는 동탄2신도시 마지막 주거지구인 신주거문화타운에 공급되는 최대 규모의 단지인 데다 그동안 일대에서 보기 어려웠던 다양한 커뮤니티 시설 등 단지의 가치를 인정한 수요자들이 많았기 때문이라는 분석이다. 이에 더해 ‘반도체 메가 클러스터’의 수
[엔트로피타임즈 최기훈 기자] DL이앤씨는 지난 10일 서울 종로구 디타워 돈의문 본사에서 메이사와 ‘건설 디지털 트윈(Digital Twin) 구축 및 건설현장 생산성 향상을 위한 업무협약(MOU)’을 체결했다고 11일 밝혔다. 디지털 트윈이란 현실 세계의 사물을 가상 세계에 그대로 구현하는 것을 말한다. 건설 분야에 적용하면 가상 공간에 현실의 ‘쌍둥이’ 건축물을 만들어 공정∙품질∙안전 관리부터 설계, 분양, 유지보수 등에 활용 가능하다. 현실에서는 비용이나 안전상의 문제로 실행하기 어려운 일들을 시뮬레이션할 수 있다는 장점이 부각되면서 큰 주목을 받고 있다. 특히 DL이앤씨와 메이사는 디지털 트윈 구축을 위해 드론 플랫폼을 공동으로 개발하기로 했다. DL이앤씨는 국내외 모든 건설 현장에 드론을 투입해 현장관리를 진행하는 등 그동안 다양한 드론 활용 노하우를 쌓아왔다. 스마트건설 플랫폼 기업인 메이사가 국내에서는 유일한 3차원(3D) 맵핑 엔진을 보유 중이다. 양사는 드론을 활용한 건설 현장 촬영 및 분석을 통해 보다 정교한 디지털 트윈을 구축, 건설 업계에서 다양한 솔루션을 제공한다는 구상이다. 이상영 DL이앤씨 주택사업본부 기술담당임원은 “DL이앤씨는
[엔트로피타임즈 문성희 기자] 2021년, 2022년 역대 최고 영업실적을 실현한 동국제강이 12일 임시주총을 개최하고 지난 3월 정기주총에서 예고한 인적 분할을 확정했다. 동국제강은 12일 서울시 중구 을지로 본사 페럼타워 페럼홀에서 열린 임시주주총회에서 ‘분할 계획서 승인의 건’ 등 의안을 모두 승인했다. 이로써 기존 동국제강은 지주회사 동국홀딩스(가칭), 하이퍼전기로 동국제강(가칭), 컬러강판의 동국씨엠(가칭) 등 3개사로 분할해 운영한다. 동국제강그룹 분할 기일은 6월 1일이다. 존속법인 및 신설법인 2개사는 6월 16일 변경 상장 및 재상장한다. 기존 회사 주주는 존속법인과 신설법인 지분 비율에 따라 동일하게 주식을 분할 배분 받는다. 동국제강은 공개매수 방식의 현물출자 등 추가적인 절차를 마무리한 후 10월말 지주사 체제 전환을 계획하고 있다. 동국제강 인적분할 추진방향 및 사업전략 장세욱 부회장은 주주 환원 정책에 대해서 정기 주총에서 약속한 대로 최저 배당 기준, 최대 배당 기준, 적자 배당 기준 등을 구체화해 제시했다. 동국제강은 지주사 체제 구축 후 자사주 취득 소각 등 주주 환원 방안을 추가 검토할 계획이다. 이날 사내이사로 선임된 장세주
[엔트로피타임즈 문성희 기자] 일제강제징용자 피해보상 대안으로 추진되고 있는 한일 재계 기금운영과 관련해 5월 10일 12시 일본 도쿄에서, 한국 전경련과 일본 경단련이 '한일 일한 미래파트너십 기금' 진행상황을 발표하는 기자회견을 개최했다. 전경련과 경단련은 지난 3월 16일 '일한 미래 파트너십 선언'에서 '일한·한일 미래 파트너십 기금'을 창설하고, 전경련 10억원, 경단련 1억엔으로 시작하겠다고 발표한 바 있다.이날 기자회견에서는 도쿠라 마사카즈 경단련 회장과 김병준 전경련 회장직무대행이 기금 운영에 대한 그동안의 경과와 향후 계획에 대해 설명했다. 두 단체는 사업의 구체적 내용을 결정하기 위해 운영위원회를 설치할 예정이며, 일본 측 위원에는 경단련 관계 부회장, 한국 측 위원에는 김윤 삼양홀딩스 회장 및 이웅열 코오롱 명예회장을 선임했다고 밝혔다. 운영위원회 외에도 광범위한 의견 수렴을 위해 자문위원회를 설치하기로 했다. 자문위원회 위원장은 일본 측에서 후카가와 유키코 와세다대학 정치경제학술원 교수를, 한국 측에서는 자문위원회 좌장으로 강성진 고려대 교수를 선임했다. 기금사업의 구체적 추진을 위해 5월 9일 '일반재단법인 일한 미래 파트너십 기금'을
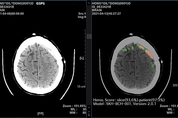
[엔트로피타임즈 민혜정 기자] SK㈜ C&C(사장 윤풍영)가 개발한 AI 뇌출혈 영상 의료 솔루션 ‘메디컬 인사이트 플러스 뇌출혈’의 효과성을 입증한 논문이 국제 학술 저널에 실렸다. 지난 3일, SK㈜ C&C가 이 논문이 네이처 파트너 저널인 ‘디지털 메디신’에 게재됐다고 통해 밝힌 것인데, ‘디지털 메디신(npj. Digital Medicine)’은 과학분야 세계적 권위지인 ‘네이처 리서치’의 인공지능의학 전문 저널로, 2018년 1월 출범 이후 네이처 파트너 저널 중 가장 영향력 있고 인기 있는 저널로 꼽히고 있다. 서울대학교병원 영상의학과 윤태진 교수와 아주대학교병원 영상의학과 최진욱 교수가 주 저자로 집필한 ‘딥러닝 기반의 뇌출혈 자동 탐지 알고리즘 : 무작위 확증 임상시험(Deep learning based automatic detection algorithm for acute intracranial haemorrhage: a pivotal randomized clinical trial)’ 논문에는 총 7명의 연구 교수진이 함께 했다. ‘메디컬 인사이트 플러스 뇌출혈’은 뇌 CT 영상을 수초 내로 분석해 출혈 위치와 이상 여부를 의료
[엔트로피타임즈 최기훈 기자] 정주영 회장이 간척지 사업을 추진했던 태안에 현대건설이 모빌리티 인프라 기반의 스마트시티를 건설한다. 현대건설은 국토교통부가 주관하는 ‘2023 강소형 스마트시티 조성사업’에 충청남도 태안군과 함께 민관협력체제로 참여해 최종 선정됐다. 이번 공모는 ‘2023 스마트시티 조성·확산사업’의 일환으로 스마트기술을 활용해 지역도시가 직면한 문제를 해결하고 지속가능한 발전을 도모하기 위해 시행됐다. ‘기후위기’와 ‘지역소멸’ 등 최근 환경변화에 대한 대응력을 확보하는 2개 분야에 대해 총 4개 지자체가 선정됐으며 2024년까지 특화 솔루션이 집약된 시범 도시를 조성한다. 현대건설 관계자는 “지역경제 활성화를 통한 국가 균형 발전을 목표로 하는 태안기업도시가 정주영 선대회장이 간척사업을 통해 일군 땅에 조성되는 만큼 태안군은 현대건설과 현대자동차그룹에 특별한 의미가 있는 지역”이라며 “‘도전’의 역사가 고스란히 녹아있는 이곳에서 최첨단 스마트기술을 접목한 새로운 지역가치를 창출해 ‘땅은 후손에게 물려줄 수 있는 가장 소중한 유산’이라는 선대회장님의 유지를 이어갈 것”이라고 밝혔다. 이번 사업은 올 6월 사업계획 확정 및 국토부·지자체 간
[엔트로피타임즈 강민구 기자] S-OIL은 새 대표이사 CEO에 안와르 알 히즈아지(Anwar A. Al-Hejazi) 씨를 선임했다. S-OIL은 9일 임시 주주총회와 이사회를 열어 전 아람코 아시아 사장인 알 히즈아지 사내이사를 대표이사 CEO에 선임했다고 밝혔다. 에쓰-오일 이사회는 “안와르 알 히즈아지 CEO는 사우디아라비아 국영 석유에너지 회사 아람코의 임원을 역임하고 있는 에너지 업계의 전문가로 회사의 경영과 글로벌 성장 및 발전에 기여할 것으로 판단했다”고 추천 사유를 밝혔다. 신임 알 히즈아지 CEO는 사우디아라비아 출신으로 킹파드석유광물대학교에서 화학공학을 전공하고, 사우디 아람코에서 1996년부터 27년 동안 석유 가스 생산시설 관리, 사업개발, 투자 현지화, 초대형 프로젝트 관리와 시설 계획 등 다양한 분야에서 풍부한 경험을 쌓았다. 특히 2016년부터 아람코 아시아 재팬 대표이사를 역임했고, 2018년부터 아시아지역을 총괄하는 아람코 아시아 사장으로서 한국, 중국, 일본의 기업들과 전략적 합작 투자 개발과 협력 관계 구축을 주도했다.알 히즈아지 CEO는 아람코 아시아 사장으로 재임하는 동안 아시아 지역의 원유 및 LPG 판매에서 현재 및